Serdülő kori térdbetegségek
Az intenzív növekedés a serdülőkor jellemző térdpanaszai közül két elváltozás emelhető ki.
Az egyik a térdkalács porclágyulása.
Ez az elváltozás gyakran okoz panasz a gyerekeknek, oka az, hogy a csont-izomrendszer és a porc fejlődése nincs egyensúlyban, a hirtelen testnövekedés és izomerő növekedés miatt a térdkalács porcfelszínére nagy erők hatnak, emiatt a porcfelszín érzékeny terhelésre, főként a térd hajlítására a fájdalom fokozódik. jellemzője, hogy hajlított térd mellett hosszabb ideig történő ülés esetén jelentkezik (iskolában, moziban)
Diagnosztikája fizikális vizsgálatbólés 3 irányú térd rtg felvétel elkészítéséből áll, amellyel ellenőrittük, hogy a térdkalács a hajlítás során középvonalben marad-e vagy oldalra billen.
Kezelése alapvetően nem műtéti, a térd pihentetése, lokális hűtés, krémekkel történő bedörzsölés, nagyobb fájdalmak esetén szájon át adott gyulladáscsökkentő gyógyszer.
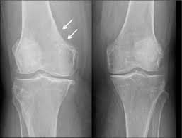
A másik gyakori panaszt okozó eltérés az un. Schlatter-osgood syndroma, melynek lényege, hogy a combfeszítő izom térdkalács szalaggal közvetített tapadása a sípcsonthoz még nem csontosodott hozzá. Jellemzője a térd alatt a sípcsont elülső felszínén kialakuló fájdalmas duzzanat.
A diagnózis itt is fizikális vizsgálat és rtg felvétel készítése. Mindkét betegségebn nagyon ritkán szükséges kiegészírésként MR vizsgálat.
Ezen elváltozás esetén is alapvetően a nem műtéti kezelés indokolt, pihentetés, lokális hűtés krémezés esetleg gyulladáscsökkentő adása.
Mindkét betegség esetén végszükség esetén műtét is végezhető, de erre negyon ritkán kerül sor.
Mindkét esetben fontos a növekedésben lévő gyermek terhelésének
csökkentése, az ízület nyugalmának biztosítása.

Veleszületett csípőficam csípőízületi dyspalsia
A csípőszűrés célja: a veleszületett csípőficam illetve un. csípőízületi dysplasia kiszűrése és időben történő kezelés megkezdése.
A csípőízületi fejlődési rendellenességek kiszűrésének jelentősége az, hogy az élet későbbi szakaszában kialakuló járási rendellenességeket megelőzzük. Felismerésre nem kerülő vagy nem kezelt illetve nem időben kezelt csípőízületi rendellenességek a későbbi életkorban végtagrövidüléssel, ízületi mozgásbeszűküléssel, ezekből következő sántító járással, gyors csípőízületi kopással, és állandó fájdalommal járnak.
A nem kezelt veleszületett csípő rendellenesség felgyorsítja a csípőízület kopását, ami általában 40 éves kor körül csípőízületi protézis beültetést tesz szükségessé.
A csípőszűrés két lépésből áll:
- az újszülött fizikális vizsgálata a megfelelő protokoll alapján, ennek ismétlése 6 hetes és 3 hónapos korban
- csípőízületi ultrahang vizsgálat 6 hetes és 3-4 hónapos életkorban
Rendellenesség észlelése esetén a mielőbbi terápia elkezdése, amely csípőízületi tornából, illetve csípőízületi terpeszt biztosító segédeszköz viseléséből áll. Amennyiben ezek a kezelések nem vezetnek a megfelelő eredményre ritka esetben korrekciós műtétre is szükség lehet.
Mind a csípőízületi fizikális vizsgálat, mind az ultrahangos vizsgález pontosan kidolgozott és világszerte elfogadott protokoll alapján történik.
Magánrendelésünkön a csípőízületi ultrahang szűrést korszerű ultrahang készülékel végezzük a Graf professzor által kidolgozott és ajánlott protokoll szerint.

Ízületi porckopás (arthrosis) kezelése

Az életkor előrehaladtával az ízületi felszíneket borító un. hyalin porc kopásnak indul, melynek mértéke egyrészt genetikailag, alkatilag meghatározott, másrészt nagymértékben függ az életviteltől.
Az ízületi kopásra hajlamosító tényezők közül a legfontosabbak:
- életkor
- genetikai tényezők
- reumatológiai betegségek (pl.reumatoid arthritis)
- súlyfelesleg
- végtag deformitások, tengely eltérések
- korábbi ízületet érintő sérülések
- túlterhelés
Az ízületi kopás leggyakrabban a terhelésnek kitett alsó végtagi ízületeket ( térd, csípő ) érinti, de gyakran előfordul felső végtagi ízületeknél is, leggyakrabban a váll és a kéz ízületeinél.
Az ízületi kopás kezelésének első és igen fontos lépése a megelőzés, a súlyfelesleg kerülése, az ízületek túlterhelésének csökkentése.
A kezelés lehetőségei:
- szájon át szedhető gyógyszerek, kondroitin szulfát és glucozamin tartalmú készítmények
- az ízület hyaluronsav injektióval történő “feltöltése” mely részben csökkenti a porcfelszínek közötti súrlódást és regenerálja a kopott porcállományt
- újabb injekciós kezelési lehetőség az un. orvosi kollagén injekció adása, mely normalizálja az ízületek körüli elemek (szalagok, ízületi tok, izmok) kötőszöveti struktúráját és ezzel jelentősen csökkenti az ízületek fájdalmát
- reneszánszát éli egy korábban alkalmazott terápia az un. drakula terápia, vagy saját vér injekció, melynek során az ízületbe juttatott vérlemezkékben dús plazmával elősegítjük a szervezet saját regenerációs mechanizmusait.
- tüneti terápia fájdalom illetve gyulladás csökkentő effektusa miatt a steroid injekciók alkalmazása
- kiegészítő terápiás lehetőségek a fizikoterápiás eljárások, mint lézer, magnetoterápia, elektroterápia, lökéshullám kezelés, és gyógytorna.
A térdízület leggyakoribb betegségei
A térdízület az emberi szervezet legsérülékenyebb ízülete ennek oka elsősorban anatómiai felépítése, nagy erőbehatásoknak való kitettsége. Fiatal korban a sérülések, idősebbeknél a kopásos betegségek dominálnak.
A sérülések közül az ízületbe hatoló törések, az ízületi bevérzések, az oldal és keresztszalag és a meniscus sérülések a leggyakoribbak. Egyszerű rándulások, zúzódások esetén napjainkban az ortézis kezelést és a korai funkcionális kezelést részesítjük előnyben szemben a korábban alkalmazott hosszú ideig tartó gipszrögzítésekkel.
Ma térdízületi keresztszalag és meniscus sérülések ellátása csak arthroscopos technikával elfogadható. Alapelv a megfelelően elvégzett műtét és a korai szakember által irányított funkcionális kezelés, mert csak ekkor várható késői jó funkcionális eredmény.
A térdizület kopása meglehetősen gyakori és nagy panaszokkal járhat. A folyamatot gyorsítja az ízület korábbi sérülése, instabilitása a testsúly felesleg.
Tünetei: a fájdalom, a mozgásbeszűkülés, az. un. indulási fájdalom, az ízületi folyadékgyülem, a deformitás.
A kezelés alapelvei: a folyamat lassítása, testsúlycsökkentés, rendszeres mozgás, ízületi porcregeneráló gyógyszerek, ízületi folyadékot pótló injekciók, az ízület artroscopos kitisztítása, korrekciós műtétek, ortézisek használata, fizikoterápia, végső esetben, ha már nincs más lehetőség, protézis műtét.

Térd közeli cysták, ín és izomsérülések, leggyakrabban szintén műtéti megoldást igényelnek.
A térdkalács betegségei, melyek lehetnek sérülések, porcelváltozások, túlterhelési problémák és un. szokványos ficam. Ez utóbbi kivételével alapvetően nem műtéti kezeléseket alkalmazunk, de sok esetben operálni kell ezeket a betegségeket.
Gyerekkorban a fentiek mellett a növekedési zónák fájdalma, elváltozása fordul elő, ezek kezelése főként nem műtéti, de esetenként műtétet is végeznünk kell.
A térd betegségeinek vizsgálatában a fizikális vizsgálat, a röntgen, az ultrahang, a CT, és MR az alkalmazható vizsgálatok.
A térdízület sportsérülései

A térdízület testünk leggyakrabban sérülő ízülete, melynek oka, hogy a térd nagy erőbehatásoknak van kitéve és nem rendelkezik védelmet nyújtó izomköpennyel.
A sérülés mechanizmusa direkt , vagy indirekt erőbehatás, előbbi esetben zúzódás vagy törés, utóbbiban, mely leginkább csavaró jellegű erő, szalag vagy meniscus sérülés.
A leggyakoribb sérüléstípusok a rostos porcgyűrűk, az un. meniscusok sérülése, az oldalszalagok és a keresztszalagok sérülése, ritkábban sérülnek az ízületi porcfelszínek és az ízületet alkotó csontok.
A leggyakoribb tünetek:
Duzzanat, fájdalom, ízületi bevérzés, az ízület elakadása, kattogása, súlyosabb esetben instabilitás, az Ízület „lötyögése”. Utóbbi esetben gyors porckopás és súlyos mozgászavar jellemző.
A diagnosztika lépcsői a fizikális vizsgálat, a röntgen, az ultrahang és az MR vizsgálat.
Az arthroscopia szerepe a térdsérülések kezelésében:
Arthroscopia (ízületi tükrözés) csaknem 100%-os diagnosztika a térdízület sérüléseiben.
Az ízület megnyitása nélkül lehetőségünk van a meniscusok, a porcfelszínek, az ízületi tok és nyálkahártya és a keresztszalagok műtéti ellátására. A módszer előnye, hogy nincs szükség az ízület megnyitására, rövid a kórházi kezelés ideje, gyorsabb a felépülés, kevés a szövődmény.
Leggyakrabban porcplasztikát, idegentest eltávolítást, meniscus rezectiot és plasztikát, valamint keresztszalag plasztikát végzünk arthroscopos módszerrel. Lehtőség van a porchiányok pótlására is az un. mozaikplasztika módszerével.
Nyílt műtéteket végzünk az ízületi és ízület közeli törések és az oldalszalag sérülések, a térdhajlati cysták kezelése során.
Kiegészítő kezelési lehetőségek:
Külső rögzítők használata, gyógytorna, fizikotherápia, gyógyszeres kezelés.
Glucosamin, chondroitin szulfát mint porcvédő szerek alkalmazása, ízületbe adott gyulladáscsökkentők, hyaluronsav, synochrom ízületbe adásával a porcregeneráció javítása.
A kéz leggyakoribb megbetegedései.
A kéz megbetegedései lehetnek baleseti , vagy kopásos eredetűek, daganatok, vagy daganatszerű elváltozások, gyakran reumatikus gyulladásos deformitások.
A baleseti eredetű elváltozásoknál a feladat a sérült képletek mielőbbi műtéti helyreállítása és műtét utáni gyógytornakezelés.
A nem baleseti eredetű betegségek leggyakoribb formái:
- az un. alagút syndromák, melyek jellemzője a kéz zsibbadása, az izmok sorvadása, nyugalmi fájdalom, a kéz tompává ügyetlenné válása, a kezelés alapvetően műtét, az érintett ideg felszabadítása, kezdeti stádiumban helyi injekciós kezelések, fizikoterápia.
- az ínhüvelyek megbetegedései, melyek fájdalmas mozgásbeszűküléssel járnak, ezek kezelése szintén műtét, az ínhüvelyek bemetszése
- Dupuytren contractura, a tenyéri bőnye zsugorodása mely az ujjak kontracturájával jár, megoldása plasztikai műtét
- daganatok és daganatszerű elváltozások, a bőr, az inak, az izmok , az ínhüvelyek daganatai, ezek legtöbbször jóindulatúak, de sokszor súlyos fájdalommal és funkciózavarral járnak, megoldásuk műtéti eltávolítás és szövettani vizsgálat
- a kéz ízületeinek arthrosisa, a porcfelszínek kopása, következményes fájdalom, duzzanat, ilyenkor gyógyszeres kezelés, fizikoterápia,ízületbe adott injekciók szükség esetén műtét végezhető
- reumatoid arthritis, szisztémás betegség, a kéz ízületeinek súlyos deformitásával, fájdalommal, az ujjak deformálódásával, kezelése alapvetően gyógyszeres, injekciós kezelés, de a betegség bizonyos stádiumában műtét
- sérülés utáni szalagsérülések, instabilitások, a megoldás plasztikai műtét
- ideg és érsérülések utáni állapotok, megoldásuk mikrosebészeti műtéti rekonstrukció
- fejlődési rendellenességek, 3 éves korban korrekciós plasztikai műtét
- sérülés utáni csont deformitások esetén gyakran végzünk korrekciós, tengely és ízületi szög helyreállító műtéteket, melyektől a fájdalom csökkenése és a funkció lényeges javulása várható.
A kézbetegségek jellemző tünetei: fájdalom, mozgásbeszűkülés, súlyos funkcionális károsodás, zsugorodás, kontraktúrák kialakulása, mindezek súlyos funkcionális károsodással járnak.
Kezelési alapelvek: gyógyszerek, helyi injekciós kezelések, fizikoterápia, gyógytorna, szükség esetén műtéti korrekció. Mind a nem műtéti, mind a műtéti kezelés után nagyon fontos a gyógytorna, mert a kéz finom mozgásai csak így állíthatók helyre.
Serdülőkori gerincferdülés.
A gerincferdülés (scoliosis) a serdülő korra jellemző elváltozás.
A gerincnek vannak un. fiziológiás görbületei, a nyaki és deréktáji gerinc előre felé (lordosis), a háti és kersztcsonti szakasz hátrafelé görbül (kyphosis). A gerincnsk normál állapotban oldalirányú görbülete nincs, kivéve a szív magasságában lévő jelzett jobbra történő elhajlást ez azonban fiziológiás.
Serdülő korben, jellemzően 12-18 év között gyakori a gerinc nem fiziológiás görbületének kialakulása, melynek oka lehet alkatilag meghatározott, un. ízületi illetve kötőszöveti lazaság. A leggyakoribb ok azonban az, hogy a csont, szalgrendszer fejlődése nincs szinkronban az izomrendszer fejlődősővel, emiatt megbomlik a két rendszer közötti egyensúly, ami gerincferdülés kialakulásához vezethet. Elősegítő külső tényező az inaktív életmód, a mozgás hiánya, a súlyfelesleg.
Gyakori deformitás a háti görbület fokozódása a vállak előre esése ez az un. hanyag tartás.

A gerinc oldalirányó görböletei kialakulhatnak a háti és az ágyéki gerincszakaszon, ezt scoliosisnak nevezzük. Ilyen esetben nam csak az oldalirányú görbületről van szó, hanem ebben az esetben a csigolyák elfordulása un. rotaciója is fennáll.
Tünettena: a gerinc, a hát fájdalmasá válik, a mozgás beszűkül, a vállak és a medence valamelyik irányban dől, a bordaíveken kidudorodás, un. bardapúp alakul ki.
Az elváltozás diagnosztikája fizikális vizsgálatból és kétirányú röntgen felvétel elkészítéséből áll, ritkán szüksége CT vagy MR vizsgálat kiegészítésként.

A kezelés elsősorben konzervatív, gyógytorna, a törzsizmok (core izomzat) megerősítése, a rendszeres sport, testmoozgás, szükség esetén átmenetileg gyógyszeres támogatás.
Amennyiben a görbület bizonyos fokot (20fok) meghalad a fenti kezelések mellett méretre készített gerincfűző viselését rendeljük el, nagyobb görbület (40fok) esetén műtéti koorekció szükséges.
A folyamat a növekedés időszakában általában jól befolyásolható, ezt az időszakot funkcionális scoliosis idősakának nevezzük, később a növekedés befejeződése után az elváltozás már nem korrigálható, ilyenkor már csak a apanaszok csökkentése a cél. A felnőtt korban megmaradt gerincdeformitás gyors kopáshoz a csigolyák deformitásához, mészfelrakódásokhoz, mozgásbeszűküléshez estlen ideggyök érintettséghez vezet.
Előláb deformitások (lúdtalp, bütyök, kalapács ujj, matatarsalgia)
A láb leggyakoribb deformitásai közé tartozó bütyök (hallux valgus) akkor alakul ki, amikor a láb öregujjának csontjai és ízületei – főként statikai okokból kifolyólag – elmozdulnak, az öregaujj a többi ujj felé mozdul, és a láb belső oldalán fájdalmas kitüremkedés jön létre.
A bütyök (hallux valgus) a láb leggyakoribb deformitásai közé tartozik, különösen a fejlett társadalmakban és a nők között fordul elő nagy számban. A nagylábujj alappercének kinövését értjük alatta. Kialakulásának oka a láb harántboltozatának süllyedése, amelyet a köznyelv lúdtalpnak nevez. A láb statikai helyzetének, a súly eloszlásának a megváltozása következtében ugyanis a lábfej a lábujjak tövénél kiszélesedik, a megváltozott nyomás hatására az inak a nagylábujjat a másik négy ujj felé húzzák. A nagyujj (“öregujj”) rendellenes elhajlása miatt az alapperc az ellentétes oldalon jellegzetesen kitüremkedik, deformálódik, csontkinövés is létrejöhet. Az ízület belső, illetve oldalsó részén a nyáktömlő az állandó fokozott nyomás hatására könnyen gyulladásba jön, ami a gyulladás fellángolásakor fokozott fájdalommal jár. A dörzsölés hatására a deformálódott ízület feletti bőr könnyen begyulladhat, kisebesedhet, sőt, fekély is kialakulhat.

Kalapácsujj (digitus malleus): a lábujjak gyakori torzulása, a láb harántboltozatának lesüllyedése következtében megbomlik az egyensúly a lábujj hajlító és feszítő izmai között, aminek következtében az alapperc a lábhát felé, míg a második és harmadik perc a talp felé fordul. Az alap- és középsőperc között kiálló ízületet a cipők gyakran törik, ezért ott bőrkeményedés alakul ki. A bőr kisebesedhet, elgennyedhet és igen fájdalmassá válhat. A kezdeti szakaszban kényelmes cipő és betét a panaszokat általában megszünteti. Súlyosabb esetekben műtét szükséges.

Az előláb deformitások kialakulásának megelőzésében elsődleges szerepe van a lúdtalpbetét viselésének. A betét (gyógytalp-betét) megállíthatja a kezdődő folyamatot, megelőzheti a nagylábujj elfordulását, ficamát, a csonthártya izgalmát, a bütyök, a csontkinövés kialakulását. A lúdtalpbetét kiválasztásánál mindig vegyük figyelembe az ortopéd szakorvos javaslatát, a jó betét egyénre szabott, a beteg lábához, annak deformitásához igazodik, azt korrigálja. A lúdtalpbetétet megszokást követően minden cipőben folyamatosan viselni ajánlott. A cipőboltokban kapható előre elkészített betétek viselése nem javasolt.
A bütyök deformitás kezdeti szakaszában éjjel használt lábujjsín használata is felmerülhet, amely a nagylábujjat hivatott a megfelelő helyre visszasegíteni. A szakemberek felhívják a figyelmet a lábak, lábujjak rendszeres tornáztatásának fontosságára is.
Magát az elváltozást kifejlett állapotában azonban csak műtéti úton lehet gyógyítani. Számos műtéti megoldás ismert, amelyek a vezető elváltozásnak megfelelő korrekcióval segítenek. A műtét után 3-4 hét utókezelésre van szükség.
Teniszkönyök / golfkönyök (Lateral/medial epicondylitis)
A teniszkönyök, a könyök- és csukló-izület mozgatásakor jelentkező heves fájdalommal járó elváltozás a könyök külső területén. A fájdalom jellemzően az alkar külső felszínén elhelyezkedő a csukló és az ujjak nyújtásában közreműködő izmok irányába sugárzik, jellemzője a kéz szorítóerejének csökkenése, hirtelen jelentkező készsúrás szerű fájdalom. A kéz ügyetlenné válik, a beteg sokszor banális mozdulatokra is elejt tárgyakat.
A betegség oka a felkar könyök felőli végének az un. lateralis epicondylus területének csonthártya izgalma, illetve gyulladása. A gyulladást túlterhelés, fizikai munka váltja ki.

A golfkönyök a könyökizület belső felszínén, a csukló és kéz ujjak hajlító inainak tapadásánál kialakuló elváltozás, melynek oka és tünetei a teniszkönyökére hasonlítanak.

A kezelés első lépése a tehermentesítés, ami minden esetben jelentős időráfordítást, sok esetben munkából, szabadidős és sporttevékenységtől való távolmaradást is jelent.
A kezelés következő lépése az un. konzervatív kezelés, helyi hűtés, krémek alkalmazása, fizikoterápia, szájon át adott gyógyszerek. Újabban eredményesen alkalmazzuk ezen betegségek kezelésére a lökéshullám és lézer terápiát.
Harmadik lépésben helyileg adott injekciók javíthatnak a tüneteken, ez lehet steroid jellegű gyógyszer adása, de legújabban alkalmazható a saját vérből nyert un. thrombocytában dús plazma befecskendezése is, melynek során a szervezet saját védekező mechanizmusait használjuk fel a kezelés során.
A mennyiben a folyamat nem javul, vagy ismétlődik, műtéti megoldásre van szükség.
A vállízület gyakoribb betegségei
A vállfájdalmak gyakoriságának az oka, hogy az ízület nagyon sérülékeny. A felkarcsont fejét az ízületben az ízületi tok, a szalagok és az ízületet körülvevő izomzat tartja helyben. Mível a vállízület rendkívül nagy mozgástartománnyal rendelkezik, gyakran és könnyen sérül. Ezen ízület esetében nem annyire a kopásos elváltozások dominálnak, mível nem teherviselő izületről van szó, sokkal inkább az izületet körülvevő lágyrészek betegszenek meg.
Balesetek következtében sérülhetnek a vállízületet alkotó csontok, a felkarcsont, a lapocka, a kulcscsont is. Nagyon fájdalmas az ízület ficama, amikor a felkarcsont feje valamilyen irányban kicsúszik az ízületi vápából. A törések és ficamok ellátása baleseti sebészeti feladat, az elsődleges maradványok korrigálása ortopédiai kezelést igényel.
Leggyakoribbak az izület körüli nyáktömlők (burzák) gyulladásai, a felkar kétfejű halító izmának íngyulladás.
Mindezen elváltozások vezető tünete a tünete a mozgáskorlátozottság és a fájdalim.

Az ismétlődő gyulladások miatt az izület körül mészlerakósdások jönnek létre, melyek rtg felvételen jól láthatóak.

A diannosztikában a fizikális vizsgálat, a kétirányú rtg felvétel az ultrahag és az MR vizsgálat szerepelnek.
Enyhébb esetekben gyógyszerek, helyileg krémek, izületbe adott injekciók és fizikoterápiás lehetőségek eredményre vezethetnek. Ebben az esetben is jó hatásfokkal alkalmazható a lökéshullám a lézer kezelés valamint a thrombocytában dús plazma adása.
A váll körüli gyulladások nagyon gyorsan az izület fájdamas mozgásbeszúkülését okozhatják, kialakul az un. befygyott váll syndroma. Ebben az esetben a fenti konzervatív kezelési eljárások mellett az altatásban végzett bemozgatás is szóba jön.
Gyakori elváltozás az un. impingement syndroma, melynek lényege a vállboltozat alatti tér beszűkülése ami szintén fájdalaas mozgásbeszűküléssel jár. Ebben az esetben gyakran nem vezetnek eredményre a gyogyszeres és fizikoterápiás eljárások, ilyenkor műtéti beavatkozásra van szükség.
Egyértelműen műtétet ajánlunk akkor, ha a váll körüli izomköpeny, az un. rotator köpeny sérül, ennek diagnosztikájában a legfontosabb az MR vizsgálat, ami legtöbb esetben pontosan megmutatja az elváltozást és segít a műtéti tervezésben.
Akár műtéti, akátr nem műtéti kezelésre szorul a vállízület elváltozása rendkívül nagy jelentősége van az utókezelésnek, a gyógytornának, esetleg az un. CPM (folymatos paszív mozgatá) készülék alkalmazásának.
Felnőttkori combfej elhalás
A felnőttkori combfej elhalás lehet baleset, combnyaktörés következménye, vagy lehet ismeretlen eredetű. Az első esetben a kezelés egyértelműen műtét, a második esetben a betegség lefolyása lassú, kezelés nélkül fokozatosan romlik a beteg állapota a csípőfájdalomtól, a súlyos sántításig.
A fiatal, felnőttkori combfejnecrosis 80%-ban a férfiakat érinti. Tünetei kezdetben nem jellemzőek, a korai stádiumban tünetmentes is lehet, vagy csak átmeneti csípőizületi fájdalmak jelentkezhetnek, átmeneti jelleggel. A bizonytalan, kellemetlen csípő-fájdalom gyakran éjszakai jelentkezik, s nehéz a végtagnak nyugalmi pozíciót találni. Máskor erőteljes, de nem állandó jellegű a csípőízületi fájdalom, amely folyamatosan és gyorsan progrediál, majd később állandósul. A végeredmény az állandósult sántítás, az egyre fokozódó csípőizületi mozgáskorlátozottság következtében.
Fontos hangsúlyozni, hogy a megbetegedés gyakran (40–80%-ban) kétoldali, de a megjelenés nem mindig egy időben történik.
A fiatalkori combfejelhalás oka az esetek egy részében tisztázatlan, máskor trauma, gyógyszer adagolás, alkohlizmus vagy egyéb betegség áll a háttérben.
kiváltó októl függetlenül a combfej vérellátása zavart szenved, a fejben csontelhalás jön létre, későbbi szakaszban a fej terhelési felszíne beroppan, a fájdalom jelentősen fokozódik, az izület mozgása súlyosan besűkül.

Diagnosztikájában a kétirányú rtg, CT, MR és csontscintigráfia segít.
A terápia annál hatékonyabb, minél korábbi stádiumban történt a betegség felismerés és kezelésbe vétele.
Kezelésében konzervatív módszerként tehermentesítés, gyógyszeres kezelés jön szóba, amely egyrészt a combfej vérkeringését javítja, illetve olyan gyógyszerek adagolása, amelyek a csont-anyagcserét javítják.
Ennek eredménytelensége esetén műtéti kezelés, combfej felfúrés, érnyeles lebeny plasztika végső stádiumban izületi protézis beültetés.
Pattanó ujj
A betegség a kéz bármely ujján előfordulhat, leggyakrabban a hüvelykujj érintett. Kialakulására jellemző, hogy először az ujj mozgása fájdalmassá válik, ezt követően hajlítás-nyújtás során a mozgás akadályozottá válik, véghelyzetben az ujj vagy nyújtva marad és a beteg nem tudja behajlítani, vagy behajlított helyzetben rögzül és nem tudja kinyújtani.

Rendkívül kellemetlen betegség mert a fájdalmon kívül a kéz a beszűkült ujjmozgás miatt ügyetlenné válik és a beteget akadályozza a mindennapos tevékenységében. Gyakori az egész végtagra kisugárzó fájdalomérzet is.
A betegség diagnosztikája egyszerű fizikális vizsgálatból áll, esetleg ultrahang vizsgálat segít a bizonyításban. Az elváltozás lényege a hajlító ínhüvely szűkülete, melynek oka fizikai terhelés, ismétlődő mikrotraumák, ismétlődő ínhüvely gyulladások.
A kezelés kezdetben lehet konzervatív, helyileg alkalmazott krémekkel, gyógytornával, fizikoterápiával, esetleg lokálisan adott steroid injekciókkal.
A végleges megoldást egy egyszerű műtéti beavatkozás jelenti, mely a beszűkült heges ínhüvely bemetszéséből áll.
Az Achilles-ín krónikus gyulladása és sérülése
Az Achilles-ín sérülése igen gyakran fordul elő középkorú férfiaknál, a sportolók negyedik leggyakoribb sérülése. Gyakori jelenség, hogy az ín sérülése az aktív sport pályafutás után következik be, hobbi sportolás során. Ennek oka, hogy ahosszú éeken át tartó aktív sport, jelentős terhelés miatt az ín állományában degenerációnak nevezett elváltozások mennek vége, emiatt az ín szakító szilárdsága ellenállóképessége csökken és egy váratlan, gyakran banális mozdulatra elszakad.

Sokkal gyakoribb jelenség az Achilles ín krónikus fájdama, érzékenysége, gyakran terhelésre megfigyelhető duzzana, az ín tapadádnál a sarokcsonton fájdalmas dudor megjelenése. Ezt a tünetggyüttest Achyllodyniának nevezzük.
Az Achillodynia kezelése konzervatív, pihenés, a terhelés csökkentése, lokálisan krémek alkalmazása, hűtés, fizikoterápi, sarokemelő szilikonos betét használat. Kiváló eredményeket ad a lökéshullám kezelés, az orvosi kollagén ijekció és a thrombocytábandús plazma beadása.
Ha ezek a kezelési módok nem vezetnek eredményre műtét is szóba jön, ilyenkor a heges, szűk ínhüvelyt bemetsszü és az ínra nehezedő nyomást csökkentjük.
Az Achiiles ín sérülés ellátása mindenképpen műtéti, és időfaktorhoz kötött. Sürgősséget igényel, mert a szakadt ínban hamar megindul a leépülés, egy része felszívódik, később hegesedésnek, zsugorodásnak indul, ami miatt az egyszerű ínvarrat már nem elég. Ilyenkor a rövidült, vagy rossz állományú inat helyreállítani, csak plasztikai megoldással lehet. t rehabilitáció, és a gyógytorna.
Boka szalagsérülései és a bokaízület instabilitása
A bokaszalag általában a boka rándulásakor sérülhet, amikor a lábfej típusosan befordul maga alá. Ilyenkor a szalagok megnyúlhatnak, részlegesen vagy teljesen szakadhatnak. A boka külső része beduzzad, mozgása korlátozódik, tapintásra fájdalmassá válik. A nagy fájdalom következtében az izület nyithatóvá is válhat, azaz szakavatott kéz megérzi oldalirányú mozgatásnál az izület instabilitását.

Az orvos röntgen-felvétellel kizárja az egyéb traumát, megállapítja az instabilitás mértékét. Általában konzervatívan kezeljük, ami gipszrögzítést vagy ortézis viselését jelenti.
Ismétlődő szalagsérülés -általában sportolóknál- krónikus bokaizületi instabilitáshoz vezet. Ebben az esetben bokaszalag plasztikát javaslunk, az elégtelen szalagot a környező inak vagy a külboka nyúlvány csonthártyájából képzett lebennyel pótoljuk.
Dongaláb
A dongaláb egy összetett lábdeformitás, melyet néha a lábszár és a comb rövidülése, alaki eltérése is kísér. A bokaizület a talp felé hajlik, a láb befelé görbül és befelé dől, kétoldali érintettség esetén a talpak egymás felé néznek. Az esetek döntő többségében az elváltozás már a születéskor fennáll.
Enyhébb esetben csak a láb mérsékelt befelé fordulása észlelhető. Súlyosabb esetben a sarok magasan áll, a láb hátrafeszítése erősen korlátozott, és a talpak összeérnek. A már járóképes gyermek a külső talpszélén, vagy akár a kül-bokáján jár.

Nagyon fontos a kezelés mielőbbi megkezdése; a veleszületett dongalábat már a születés utáni napon tornáztatni kell, orvos vezetésével megtanított módon. Egy hetes korban megkezdhető a gipszeléssel kivitelezett korrekció. A gipszet hetente, majd kéthetente cserélni kell, mert a korrekció folyamatos emelését így tudjuk biztosítani, és a csecsemő a gipszet egy-két hét alatt kinövi.
Ha a dongaláb igen súlyos mértékű, vagy a gipszkezelés nem hoz teljes gyógyulást, műtét szükséges.
Lúdtalp (pes planus)
A lúdtalp a láb hosszboltozatának lesüllyedése. A hosszboltozat a talp belső oldalán húzódik, harmonikus ívet alkotva a saroktól a nagyujj alapízületéig. Ha ez az ív laposabbá válik, a talp középső része a talajhoz érhet, mely vizes talpunk lenyomatát jól láthatóan kiszélesíti. Általában már gyermekkorban megfigyelhető, később nem kezelt esetekben következménye a az I.es sugárban a bütyök, a többi ujjon a kalapácsujj deformitás kialakulása.

Újszülött korban a lábnak még nincs hosszboltozata; az a járás során fokozatosan alakul ki , egészen 5-6 éves korig fejlődve. A boltozat magassága egyénenként változó, és ez örökölhető; a laposabb talpú egyének is gyakran teljesen panaszmentesek. Van azonban néhány kórkép, ami a lúdtalp kialakulásában, meglétében szerepet játszhat, pl.:
- laza ízületek, szalagok
- öröklött genetikai hajlam
- sérülések
- idegrendszeri betegségek
- a láb ízületeinek gyulladása
A sarok dőlése a lúdtalppal igen gyakran együtt jelentkezik. Kisgyermekkorban, amikor a boltozat még kialakulóban van, a sarok befelé dőlése utal arra, hogy a gyermek boltozata nem megfelelően fejlődik. Súlyosabb tengelyeltérés esetén gyakran jelentkezik fájdalom a talp területén, a lábszáron, a térd környékén, sőt akár az alsó (ágyéki) gerinc-szakaszon is.


A lúdtalp kezelésében a kisgyermek korban tornát, mezítláb járást esetlen un. supinációs cipő viselését javasoljuk, később az un. kisiskolás korban a gyermek ellátható a megfelelő, a lábra illesztett talpbetéttel.
Gyermekkori combfej elcsúszás
A combfej elcsúszása a csont növekedési zónájában jön létre, ezért felnőttkorban, ahol a csont már nem nő, ez a betegség nem fordul elő felnőtteknél a trauma hatására combnyaktörés jön létre.
Jellegzetes életkor a 11-14 év, amikor a hirtelen megemelkedett testmagasság és testsúly, valamint a hormonális változás miatt kissé meggyengült szerkezetű növekedési zóna okozza a combfej elcsúszását a testsúly terhelése miatt.
Az elcsúszás létrejöhet hirtelen, erős combtáji (vagy esetleg térdbe sugárzó) fájdalmat okozva, vagy fokozatosan, ilyenkor a fájdalom is kisebb, mérsékelt sántítás alakul ki. Vizsgálat és röntgen felvétel az okot tisztázza.

A combfej elcsúszás jellegzetes tünete a végtag kifelé rotált helyzete a gyermek járásképtelen, vyga sántítva jár, csípőtáji fájfalma van a cípő mozgásai mnden irányban beszűkülnek, de főként a rotációs mozgások beszűkülése figyelhető meg.
A betegség kezelése egyértelműen műtéti az elcsúszott combfejet helyre igazítjuk és csavarokkal rögzítjük.
Gyermekkori csípőizületi gyulladás, combfej elhalás
A csípőízület gyulladása leggyakrabban 6-12 éves korban alakul ki. Jellemző tünete a hirtelen kialakuló csípőtáji fájdalom, mely a térdbe is sugározhat. A gyermek sántítani kezd, és a csípő teljes kinyújtására erős fájdalmat jelez. Az esetek többségében a tüneteket felső légúti hurut, lázas állapot legtöbbször torokgyulladás előzi meg.
A csípő gyulladása általában orvosi vizsgálattal megállapítható. Ultrahang vizsgálat az ízületi folyadék felszaporodását, és a belhártya duzzanatát mutatja.
A kezelés konzervatív, nyugalomba helyezés, gyulladás csökkentő un. NSAID gyógyszeres kezelés. Ha nem kezeljük megfelelően, a combfej vérellátása károsodhat, mely a combfej részleges elhalásához, feltöredezéséhez vezethet. Ez a betegség a Perthes-kór, már sokkal veszélyesebb, és legtöbbször nem gyógyul meg nyomtalanul, korai porckopáshoz és komoly csípőtáji fájdalmakhoz vezetve.
Amennyiben a combfej csontállománya a tartós gyulladás miatt károsodik, kialakul a combfej részleges elhalása, a Perthes betegség. A kezelés fő célja ennek elkerülése. Ha azonban kialakul, tartós tehermentesítés szükséges, melyet az érintett alsó végtagra egyedileg elkészített járógéppel tudunk elérni. Ilyen készülékre hónapokig, néha akár két évig is szükség van. Ha a combfej eldeformálódik, akkor általában műtétre van szükség, ahol a combcsont átvágásával a combfejet elforgatjuk kedvezőbb helyzetbe, és a két csontrészt lemezzel egyesítjük.csecsemőkori csípőf
Ferdenyak vagy torticollis
A ferdenyak leggyakrabban a születés után fokozatosan alakul ki. Oka a koponyacsont alsó részén eredő és a mellkas elején tapadó hosszú, vékony izomnak az un. fejbiccentő izomnak a szülés során elszenvedett sérülése, bevérzése. A bevérzés hegesedést okoz, mely az izom hosszát csökkenti, és annak normális növekedését gátolja. Így a jellegzetes fejtartás kezelés nélkül éveken át, folyamatosan rosszabbodik, mely végül a koponyacsont aszimmetrikus torzulásához vezet. Előfordul kétoldali formája is, ekkor a fej nem oldalra fordul, hanem a mellkashoz képest előre húzódik.
A csecsemő a fejét következetesen egy oldalra fordítja, a másik irányba alig és csak korlátozott mértékben. Egy éves kor körül már észrevehető enyhe arc-aszimmetria, mely az évek alatt fokozatosan egyre erősebbé válik. Nagyobb gyermeknél jól látható, hogy nyakát a beteg oldal felé billenti, és az ép oldal felé fordítja.

A diagnózis megállapítása fizikális vizsgálattal (az elváltozás jól tapintható) esetleg ultrahang vizsgálattal kiegészítve egyértelmű.
A kezelést minél korábban kezdjük, annál nagyobb az esély, hogy az arc és a koponya eltorzulását megelőzzük. A csecsemő ágyát úgy helyezzük el, hogy az ingerek mindig arról érjék, amerre nem szereti fordítani a fejét. Alvás során a fejet átfordítjuk a beteg oldal felé. Rendszeres nyaktornára is szükség van. Nyaktartó műanyag gallér a nagyobb gyerekeknél segíti a zsugorodott izom nyújtását.
Amennyiben a fenti kezelések nem hatásosak, az izom tapadásának műtéti felszabadítása szükséges.
A sarokcsont csontkinövése, fájdalma (calcaneodynia)
A saroktáji fájdalom viszonylag gyakori panasz. A sarok területe a járás során igen nagy terhelésnek van kitéve, így bármilyen károsodás, gyulladás, túlterhelés hamar saroktáji fájdalomhoz vezet. A leggyakoribb okok, melyek a láb hátulsó részén fájdalmat okozhatnak:
- talpi sarkantyú
- hátsó sarkantyú
- az Achilles ín gyulladása, sérülése
- a sarokcsont cisztája
- a sarokcsont törése
A leggyakoribb, legtöbb panaszt okozó elváltozás a saroktájékon a sarkantyú. A fájdalmat tulajdonképpen nem a talpi csontkinövés – sarkantyú – okozza, hanem a láb túlterhelése miatti csonthártya gyulladás. A csontkinövés csak elhúzódó esetekben alakul ki a csonthártya gyulladás következtében, és csak igen ritkán nő akkorára, hogy műtéti eltávolítást igényeljen. Mivel a fájdalom oka a gyulladás, így a kezelés is elsősorban a gyulladás csökkentésére irányul, nem a csontkinövés eltávolítására.

A fentiekhez hasonló okokból alakulhat ki a sarokcsont hátsó felszínén az Achilles ín tapadásánál is sarkantyú, melynek oka az Achilles ín túlterhelése, gyulladása, az ezen a területen zajló csonthártya gyulladás, elhúzódó esetekben mészfelrakódás. Ez ritkább kórkép, de itt a csontkinövés általában zavaróbb a cipő nyomása miatt, így gyakrabban kényszerülünk műtéti eltávolításra. Röntgen felvételen mind a talpi, mind a hátulsó sarkantyú jól látható.
Mindkét elváltozásre jellemző a reggeli, elindulás előtti un. ibdítási fájdalom, később a nap folyamán a panszok enyhülnek, de gosszabb pihenés után újra jelentkeznek.
Bizonyos esetekben röntgen felvételre, igen ritkán tomográfiás (CT) vagy mágneses rezonanciás (MR) vizsgálatra is szükség lehet a panaszok okának tisztázására.
A saroktáji fájdalmak kezelésében nagy szerepe van a megfelelő, kényelmes cipőnek a megfelelő talpbetét használatának. Ezek lehetnek lyukasztott sarokpárnák, vagy szilikonos, zselés sarok-ékek..
Fizioterápia (lézer, terápiás röntgen, esetleg vízalatti ultrahang) a gyulladást jól csillapítja. Amennyiben a fentiek nem hoznak érdemi javulást, az érzékeny, gyulladt csonthártya fájdalma gyulladáscsökkentő injekciók adásával jól kezelhető.
Nagyon jó kezelési lehetőség a talpi szalag területére és a lábszár hajlító izomcsoportjára adott lökéshullám kezelés, mellyel az említett képletek lazítása és a panaszokat okozó csonthártya izgalom megszűnése érhető el. Szintén az utóbbi időben nyert teret a kezelésben az orvosi kollagén injekciók helyi beadása.
Legvégső esetben (igen ritkán) a csontkinövés műtéti eltávolítása hozhat megoldást az elhúzódó fájdalmakra.
A sarokcsonton belüli szerkezeti eltérések (ciszta, törés, daganat) szinte minden esetben műtéti megoldást igényelnek.
Gerincfájdalom, derékfájás
A gerinc fájdalom az egyik leggyakoribb mozgásszervi panasz. Mivel a gerinc egyes szakaszai nem egyforma gyakorisággal és nem egyforma mértékben válnak panaszossá, érdemes a gerincoszlopot három részre osztani:
- ágyéki szakasz (derék)
- háti szakasz
- nyaki szakasz
Az alsó, ágyéki szakasz fájdalma a derékfájás, más néven lumbágó. Ezen a területen alakul ki a leggyakrabban gerinc fájdalom. A panaszok oka sokféle lehet, ilyenek pl: gerincferdülés, porckorong betegségek (előboltosulás, porckorongsérv), a csigolyák szélein kialakuló csontcsőrök, csontritkulás miatt létrejött csigolya összeroppanás, csigolya-elcsúszás, baleset utáni állapotok, gerinc fejlődési rendellenességek. A derékfájás gyakran jár együtt az alsó végtagokon jelentkező panaszokkal (csíkszerűen lesugárzó fájdalom, zsibbadás, érzés-csökkenés, izomgörcsök, esetleg izomgyengeség, bénulás); az ilyen állapotot isiásznak nevezzük. Az isiászt a gerinc-csatornában futó gerincvelőből kilépő ideggyökök összenyomása okozza.

A háti gerinc fájdalma viszonylag ritkábban fordul elő. Oka leggyakrabban gerincferdülés, helytelen testtartás, csigolya-csontcsőrök jelenléte vagy csontritkulásos csigolya összeroppanás. Ha a háti gerincből kilépő ideg-gyökök nyomás alá kerülnek, akkor a bordák mentén előre sugárzó fájdalom alakulhat ki.
A nyaki gerinc fájdalma viszonylag gyakori panasz. Okai hasonlóak, mint az alsóbb szakaszokon felsorolt tényezők, kivéve a csontritkulás miatti összeroppanást, mely ezen a szakaszon szinte soha nem jön létre. Gyakran kíséri tarkótáji fejfájás, vagy a váll körül, a felső végtagon (karok, alkar, kezek) jelentkező zsibbadás, tompa húzó fájdalom. Néha a válltáji panaszok erősebbek, mint a nyaki gerinc fájdalma, az ok gondos orvosi vizsgálattal azonban tisztázható.

Hogyan tudhatjuk meg, mi a gerinc fájdalom oka? Gondos betegvizsgálattal sok esetben az ok kideríthető, és a megfelelő kezelés elindítható. Gyakran van azonban szükség röntgen felvétel elkészítésére. Néha – ha porckorong sérv gyanúja fennáll, vagy más súlyos betegség nem zárható ki – mágneses rezonanciás vizsgálat (MR, MRI) vagy tomográfiás vizsgálat (CT) is szükséges lehet.
Hogyan kezelhető a gerinc fájdalom? A kezelés nagy mértékben függ a panaszok helyétől, mértékétől, a kiváltó októl, és a kísérő tünetektől. Alapvetően a következő kezelési lehetőségek állnak rendelkezésre:
- gerinctorna (szárazföldi, vagy vízi torna formájában)
- fizioterápiás kezelések
- életmódbeli változtatások (testsúly csökkentés, megfelelő ülőhely megválasztása stb.)
- gyógyszeres kezelés
- injekciós kezelés
- gerincfűző, nyaki támasztó gallér
- műtét
Az injekciós kezelés során a gerincoszlopból kilépő ideggyökök mellé juttatunk gyulladáscsökkentő anyagot. Mivel az ideggyök környezete az izgalmi állapot során a gyulladás miatt megduzzad, és így a gyököt nyomja, az injekció által bejuttatott hosszú hatású gyulladás-csökkentő szer általában gyorsan és jelentősen enyhít a panaszokon.
A kalapácsujj a láb kis ujjainak deformitása. Leggyakrabban a második és a harmadik lábujjon alakul ki, de előfordulhat mind a négy kis lábujjon. A lábujj zsugorodása miatt a cipő kidörzsöli annak felső felszínét, így jön létre az ún “tyúkszem”. Ez az elváltozás nem a bőr saját betegsége, ezért a pedikűrös segítségével elvégzett kivágása után is mindig kiújul.
Leggyakoribb oka: a bütyökhöz hasonlóan a láb harántboltozatának lesüllyedése.

Kezelésében a kezdeti stádiumban harántboltozat-emelő betétet javaslunk, később különösen a fájdalmas tyúkszem” kialakulása után a lábra egyedi méretvétel alapján készített gyógycipőt rendelünk.
Ha ezek a módszerek nem vezetnek eredményre műtéti korrekció szükséges.
A láb öregujjának fájdalmas merevsége (hallux rigidus)
A merev nagyujj a nagyujj kifejezett mozgásbeszűkülése. Jellemző rá, hogy az ujj mozgatása erős fájdalommal jár az alapízület területén, ahol gyakran babnyi vagy még nagyobb csontkinövések tapinthatók. Járás során a nagyujj normál körülmények között jelentős mértékben képes felfelé hajlani, ezzel segítve a láb járás közbeni átgördülését. Rigid hallux esetén a csontkinövések, és az ujj alapízületének kifejezett kopása miatt az ujj mozgása alig vagy egyáltalán nem lehetséges.

Az elváltozás oka a nagyujj alapízületének ismétlődő gyulladása, vagy a láb befelé dőlése (a hosszboltozat lesüllyedése + a sarok dőlése miatt).
Kezelésében merev talpú cipő viselését ajánljuk, mely a nagyujj fájdalmas felfelé hajlását gátolni képes, és ez a járáskor jelentkező fájdalmat csökkenti. Gördülő talpas ortopéd cipő jelentősen képes a nagyujj fájdalmas mozgását kiküszöbölni. A fájdalmas, duzzadt alapízület beinjekciózása steroid tartalmú gyulladás-csökkentővel a tüneteket jelentősen enyhítheti. Amennyiben a fájdalom a fenti módszerekkel nem csökkenthető kellőképpen, műtéti kezelés javasolt.
A bütyök a nagylábujj deformitása. A nagyujj alapízületénél kialakuló tényleges bütyök deformitás mellett szinte mindig kialakul a nagyujj oldalirányú tengelyeltérése is. A nagyujj előbb-utóbb a második lábujj alá csúszik, így a cipő viselésében komoly problémát okoz. Jellemzően női lábakon alakul ki, négy-ötször gyakrabban, mint férfiak esetében.

A bütyök deformitás leggyakoribb közvetlen oka a láb harántboltozatának süllyedés. A harántsüllyedés kialakulásában több tényező is szerepet játszhat, pl.:
- a láb hosszan tartó túlterhelése
- magas sarkú, szűk és hegyes orrú cipő rendszeres viselése
- öröklött genetikai hajlam
- a sarok hibás állása
A már kialakult bütyök felett a bőr – a cipő nyomása miatt – hajlamos a gyulladásra, mely a csonthártya izgalma által a bütyök további növekedését okozza. Így a folyamat egyre gyorsabban romlik, a tíz év alatt kialakult kis bütyök egy év alatt kétszeres nagyságúra növekedhet.
A bütyök megelőzésében fontos a kényelme enyhén megemelt sarkú cipő viselése, a testsúly felesleg kerülése, a láb dinamikus elemeinek (izmainak) edzése. A már kialakult deformitás előrehaladását harántboltozat-emelő betéttel, nagyobb deformitás esetén ortopéd cipő használatával lassíthatjuk, vagy állíthatjuk meg. Éjszakára korrekciós sínt helyezhetünk a nagyujjra, mely annak hibás állását a szalagok nyújtásával csökkenti. A bütyök deformitás megoldására számos műtéti eljárás ismeret.
Benőtt köröm (unquis incarnatus)
A kéz körmeinek oldalán és a lábujjakon, főleg a nagyujjon, gyakori panasz körmök széleinek befordulása, abenőtt köröm. A bőr alá fordult köröm gyakran okoz fájdalmas gennyes gyulladást, súlyos esetben a gyulladás az ujjon felfelé haladva komoly problémát okozhat, ezért érdemes mielőbb kezelést indítani.

A benőtt köröm manikűrös, pedikűrös kezelés ellenére is hajlamos a kiújulásra. Visszatérő panasz esetén akkor is indokolt sebészi ellátása, ha nincs begyulladva. Gennyes gyulladás esetén mielőbbi ellátás szükséges a felfelé terjedő gyulladás megakadályozása céljából.
A harántsüllyedés az előláb szétterülése, kiszélesedése. A harántboltozatot alkotó lábközépcsont fejek közül a középsők (leggyakrabban a második és a harmadik) a szükségesnél nagyobb erővel nyomódnak a talajhoz, mely miatt járás során talpi fájdalom jelentkezik. Jellemző a lesüllyedt fejek alatt bőrkeményedés az un. clavus kialakulása, emiatt a beteg gyakran pedikűröshöz fordul, azonban a bőrelváltozás statikai okok miatt aaku ki és mindaddig amíg ez nem kerül megoldásra, a folyamat rendszeresen kiújul.

A statikai elváltozás következtében gyakran kialakul az öregujj “bütyök” és a többi ujj kalapácsujj deformitása.
A harántsüllyedés kialakulásában szerepet játszó tényezők:
a láb hosszan tartó túlterhelése
magas sarkú cipő rendszeres viselése
öröklött genetikai hajlam
sarok hibás állása
súlyfelesleg
Megelőzésében fontos szerepe van a kényelmes, a lábat jól alátámasztó cipő viselésének, a súlyfelesleg kerülésének. A már kialakult deformitás előrehaladását harántboltozat-emelő betéttel, nagyobb deformitás esetén ortopéd cipő használatával lassíthatjuk, vagy állíthatjuk meg. A kifejezett terhelési fájdalmat okozó, lesüllyedt lábközépcsont fejek helyzete műtéti úton is javítható.
Csípőízületi porckopás (coxarthrosis)
A csípőízületi porcfelszínek elkopása – az ún. artrózis – igen gyakori betegség. Enyhe formájában csak kifejezett terhelés során jelentkezik mérsékelt csípőtáji fájdalom, azonban a súlyos kopás a járást is erősen megnehezíti, vagy akár járásképtelenséget is okozhat, az életminőséget jelentősen rontva.
A csípőízület kopását elősegítő tényezők:
- a túlsúly
- a kifejezett mozgásszervi túlterhelés
- genetikai hajlam
- csípőízület fejlődési zavarai (csípőficam, diszplázia)
- egyes gyermek- és serdülőkori combfej betegségek (combfej elhalás, combfej elcsúszás)
- az autoimmun ízületi gyulladások (pl. a reumatoid artritisz)
- a combfej felnőttkori elhalása, beroppanása
A csípőízületi kopás kezdeti szakaszában jellemző a terhelésre jelentkező csípőtáji fájdalom, valamint a hosszabb pihenés utáni első lépések fájdalmassága, (un. indítási fájdalom) mely néhány lépés után “bejáródik”. Ilyenkor a csípőízületi porcfelszín felpuhulása, később annak felrostozódása figyelhető meg, mely a fokozatosan leváló kisebb rostok miatt az ízület izgalmi állapotát, gyulladását eredményezi; utóbbi felelős a fájdalom kialakulásáért.
A betegség korai szakaszában a cél az ízületi gyulladás csökkentése, a fájdalom megszüntetése, a kiváltó ok kezelése. A lehetőségek:
- pihentetés
- gyulladáscsökkentő gyógyszer, kenőcs
- gyulladáscsökkentő injekció
- tablettás, kapszulás vagy por kiszerelésű porckészítmény
- ízületi kenést biztosító és a porcfelszínt ellenállóbbá tevő ízületi injekció
Előrehaladott csípőízületi porckopás esetén a fenti lehetőségeken kívül műtéti megoldás jön szóba, csípőízületi protézis beültetés formájában.

Ganglion
Leggyakrabban a csuklón és a kéz ujjain előforduló, borsnyi-babnyi méretű, általában fájdalmas, kemény duzzanat, de előfordulhat más testtájékon is, általában mindenhol, ahol ízületi, ín nyálkahártya található a közelben. A tapintható, gyakran fájdalmas elváltozás az ujjak ízületeiből, ritkábban az ínhüvelyekből kiinduló kitüremkedő tasak, melyet az ízület gyulladása során kialakuló nyomás alakít ki. Tartalma sűrű, zselés folyadék.
A ganglion kezelés nélkül ritkán szívódik fel, fájdalmatlan esetben azonban nem feltétlenül szükséges eltávolítani; pihentető sín átmeneti használata, helyi gyulladáscsökkentő krém elegendő. Ha panaszt, fájdalmat okoz, megoldás a ganglion artalmának leszívása és gyulladáscsökkentő gyógyszer befecskendezése, kompressziós kötéssel kiegészítve.
Kiújulás, jelentős megnagyobbodás, fájdalom esetén indokolt a műtéti eltávolítás.



Ínhüvely gyulladás (tenosynovitis)
A kéz, csukló és ritkábban a bokaízület en nem ritka az ínhüvely gyulladás kialakulása. Kezünk néha igen erős igénybevételnek, megerőltetésnek van kitéve, vagy az egész nap egyforma mozdulatokat végző csukló, ujjak inai terhelődnek túl (pl. gépírók esetében). Ilyen esetben az inat körülvevő védőburok, az ínhüvely begyulladhat. Ez nem kórokozók által kiváltott gyulladás, hanem steril izgalmi állapot. A csukló vagy az érintett ujjak mozgatásakor ilyenkor erős, éles, hasító fájdalom jelentkezik.
A betegség orvosi vizsgálattal jól kiszűrhető a típusos helyen jelentkező fájdalom, nyomásérzékenység alapján.

Az ínhüvely gyulladás általában jól kezelhető pihentetéssel, borogatással, gyulladáscsökkentő kenőccsel, fizioterápiával. Néha pihentető sín is szükségessé válhat.
Súlyosabb esetben az ínhüvelybe adott gyulladáscsökkentő injekció adható.
Amennyiben a panaszok nem csökkennek hónapok alatt sem, műtéti megoldás is szükségessé válhat.
Az ujjak zsugorodása (Dupuytren contractura)

Az ujjak zsugorodását a tenyérben húzódó erős kötőszövetes réteg betegsége okozza. Ennek a rétegnek a rostjaiban először heges csomók jelennek meg, melyek nem mindig fájdalmasak. Aztán a rostok hosszirányban zsugorodni kezdenek, és az ujjakat (jellemzően a gyűrűs ujjat, majd a kisujjat, végül a középső ujjat) behúzzák a tenyér felé, így azok nem nyújthatók ki teljesen. A betegség nyolcszor gyakoribb férfiak, mint nők esetében. Az esetek túlnyomó többsége a kézen alakul ki, de előfordulhat más testtájékon is, leginkább a talpon.
A betegség orvosi vizsgálattal jól kiszűrhető a jellegzetes zsugorodások miatt. Azonban fel kell mérni a bőr másodlagos hegesedésének mértékét is, mert ez a műtét sikerét jelentősen befolyásolja.
Ha a csomók és a heges kötegek már kialakultak, azokat semmilyen kezeléssel nem tüntethetők el. Ameddig fájdalmat nem okoznak, és az ujjakat nem vagy csak minimálisan húzzák be, az ujjak tornáztatásával a műtét elodázható. Ha azonban az állapot rosszabbodik, annak műtéti megoldása indokolt. A műtét során a heges kötegek, csomók teljes eltávolítása szükséges. Kifejezett zsugorodás esetén néha a tenyéri bőr plasztikájára is szükség van, mely a gyógyulás idejét megnyújtja.
Alagút syndroma (tunnel syndrome)
Az alagút szindróma valamilyen ideg leszorítása miatt kialakult panaszok gyűjtőfogalma. Bár sok ideg leszorítás alá kerülhet, leggyakrabban a kéz érzéséért felelős két ideg érintett. Egyikük – a nervus ulnaris nevű ideg – főleg a könyökhajlatban kialakuló hegesedés miatt kerül nyomás alá; ekkor a kéz kisujján és gyűrűs ujján jelentkezik zsibbadás, érzéscsökkenés. A másik ideget – a nervus medianust – a csukló magasságában kialakuló leszorítás nyomja, mely a hüvelyk-, mutató- és középső ujj zsibbadását, érzéscsökkenését, fájdalmát okozza.

Igen kellemetlen betegség, mert jellemzője az éjszakai fájdalom erős zsibbadás, mely a beteget nem hagyja pihenni. Elhanyagolt esetben az érintett ideg által ellátott izmok során visszafordíthatatlan elváltozást és jelentős funkció csökkenést okoz.
Az alagút szindróma orvosi vizsgálattal általában jól kiszűrhető. Kétes esetben szükség lehet az idegvezetés műszeres vizsgálatának elvégzésére is.
Nyugalomba helyezés (csukló sín) néha elegendő a panaszok csökkentésére. A heges képletek helyi steroid njekciós kezelése elsősorban a csuklótáji leszorítás esetében gyakran megoldja a panaszokat. Ha ez sem vezet eredményre, a leszorító képletek műtéti átmetszése, az ideg felszabadítása mindenképpen indokolt, mert egyébként az ideg maradandó károsodása alakulhat ki.

A pattanó ujj az ujj hajlító inának elhúzódó gyulladása, vagy az inat leszorító szalagos gyűrűk hegesedése miatt alakul ki. Az ínon duzzanat, csomó alakul ki. Az ujj hajlítása-nyújtása során fájdalom mellett pattanás észlelhető az ujj tövében, amit a csomó heges kötegen való átugrása okoz. Súlyosabb esetben az ujj hajlított vagy kinyújtott helyzetben “beakad”, csak a másik kéz segítségével pattintható vissza, sőt néha így sem.

Mivel a hegesedés már kialakult, fizioterápia általában már nem hoz érdemi javulást. Megkísérelhető a heges szakasz helyi steroid injekciós kezelés. Ha ez nem vezet eredményre, a heges gyűrű műtéti átmetszése mindenképpen indokolt, mert egyébként az ínon maradandó károsodás alakulhat ki.

Könyökízület kopás (arthrosis cubiti)
A könyökízületben ritkán alakul ki porckopás valamilyen korábbi sérülés nélkül. Éppen ezért a kopás mellett gyakran jelen van a korábbi csonttörés maradványtünete: tengelyeltérés, ízületi felszín lépcsőképződéssel gyógyult egyenetlensége, bevérzés utáni meszesedés. A tünetek is aszerint változnak, amilyen kísérő eltérés áll fenn; jellemző a könyök mozgásának beszűkülése, az erőltetett hajlítás-nyújtás során jelentkező fájdalom. A lágyrészekben kialakult meszesedések általában jól tapinthatók.

A lényeges fontos része a gyógytorna, mellyel a beszűkült mozgás terjedelme növelhető. Átmenetileg ízületi gyulladáscsökkentő gyógyszerre is szükség lehet. Az ízületbe adott gyulladáscsökkentő injekció a fájdalmat jól csillapítja, elősegítve ezzel a gyógytornát is. Újabban használatos a hyaluronsavas feltöltés vagy az ízület köré adott orvosi kollagén injekciós terápia is. Műtéti feltárásra csak kifejezett lágyrész meszesedés, vagy nagyon rossz tengelyben összeforrt ízület esetén van szükség.

Könyökízület körüli alagút syndroma (cubital tunnel syndrome)
A könyökízület körül három igen fontos ideg halad az alkar és a kéz felé. Ezek küzül kettő viszonylag védett helyen fut, de a harmadik (a nervus ulnaris nevű) ideg a könyök csúcsa és a belső könyöknyúlvány közti csatornában nagyon felszínesen helyezkedik el. Védetlen helyzete miatt sérülés is könnyen éri, és könnyen be is üthetjük, ekkor a kisujjba és a gyűrűs ujjba sugárzó éles fájdalom, villanyozó érzés is kíséri a könyöktáji fájdalmat. A könyökcsúcs területén emellett kialakulhat olyan lágyrész hegesedés, gyulladás, mely az ideg körüli szövetek feszülése miatt az ideget leszorítja. Ekkor a mérsékelt könyöktáji fájdalom mellett a kisujj és gyűrűs ujj zsibbadása, érzéstelensége alakul ki. Ezt az állapotot hívjuk alagút (tunnel) szindrómának. Ez az ideg amellett hogy érző funkciója van a kéz legfontosabb un. mozgató idege, a kéz finom mozgásainak szabályozásában alapvető szerepet játszik. Emiatt leszorítása esetén a kézen súlyos izomsorvadás és ennek következtében súlyos funkcionális károsodás alakul ki.

Az ujjak zsibbadásának hátterében esetleg nyaki gerinc eredetű (ideggyöki) folyamat is állhat, melynek kizárására ideg-vezetéses vizsgálat (elektro-neurográfia, ENG) szükséges lehet. Ha az ideg könyöktáji vezetészavara igazolódik, általában csak sebészi feltárás, az ideg felszabadítása ad jó eredményt. Nagyon fontos a megfelelő időben elvégzett műtét a súlyos izomkárosodások elkerülése céljából.
A könyökcsúcs gyulladása (bursitis olecrani)
A könyök csúcsán a bőr és a csont között egy nyálkahártyatömlő helyezkedik el, amely a bőr elcsúszását segíti elő a csont felett a könyök hajlítása-nyújtása során. Ha ebben a tömlőben gyulladás alakul ki, akkor megduzzad, és fájdalmassá válik. A gyulladás lehet steril, vagy fertőzéses eredetű is.
A steril gyulladás oka legtöbbször a könyökcsúcson létrejött tartós nyomás (pl. hosszan tartó könyöklés után). A tömlőben feszülés jön létre, mely cseresznye nagyságú dudor formájában emelkedik ki. Fájdalmat inkább csak akkor okoz, ha rákönyökölünk.
Kezelése: enyhébb esetben a könyöklés kerülése, gyulladáscsökkentő krém használata elegendő lehet. Ha a duzzananat nem csökken, a tömlőben levő folyadék injekciós tűvel történő lecsapolása szükséges; ilyenkor a kiújulás elkerülésére gyulladáscsökkentő gyógyszer fecskendezhető a tömlőbe. Ha a folyamat erre a kezelésre sem szűnik, műtéti megoldás javasolt: a gyulladt tömlő falát el kell távolítani.

A fertőzéses (gennyes) gyulladás sem ritka; ilyenkor a tömlő nem csak duzzadt, de felette a bőr piros és meleg, és a terület nyomásra, mozgatásra erősen fájdalmas. Ilyenkor is megkísérelhető az injekciós tűvel történő lecsapolás, de steroid tartalmú gyógyszer befecskendezése tilos; szükség lehet viszont antibiotikum szedésére 5-10 napig. Ha a gyulladás kifejezetten erős, vagy a leírt kezelésre nem reagál, műtéti feltárás szükséges a gennyes gyulladás könyökízületbe terjedésének megakadályozására. A műtéti megoldás és a gyógyulás ideje, kimenetele erősen függ a gyulladás mértékétől, és a kórokozó baktérium típusától.

A leggyakoribb sportsérülések
A sportsérülések leggyakrabban az aktív fiatal korosztályt érintik, de előfordulnak idősebb embereken is az un. szabadidő tevékenység során.
Súlyosságukat tekintve a nagy megerőltetéssel járó professzionális sportokat űző sportolóknál súlyosabb sérülések alakulnak ki, a mindennepoa amatőr sporttevékenységek során inkább az egyerűbb sérülések jelentkeznek.
A legegyszerűbb formák az ízületi rándulások, amik duzzanattal, fájdalommal, az ízület mozgásbeszűkülésével járnak. Amennyiben a rándulás nagyobb erőbehatásra következik be, az ízületi tok és a szalagok sérülhetnek, ekkor az érintett ízület instabillá válhat.
Ezen egyszerű sérülések kezelése alapvetően nem műtéti, nyugalomba helyezés, helyileg hűtés, krémezés, bandázs, fizikoterápiás eljárások használata.

Nagyobb erőbehatás okozhat izom vagy ín sérülést, szakadást. Ezek kezelése is alapvetően konzervatív, de itt a regeneráció hosszabb ideig tart és jobban előtérbe kerül a fizikoterápiás eljárások használata.
Előfordulhatnak sporttevékenység során ízületi ficamok, melyek az ízület súlyos sérülését jelentik, kezelése a ficam helyretétele, az ízület rögzítése, majd általában hosszabb rehabilitációs kezelés. Súlyos ficamok járhatnak szalagsérüléssel, amikor műtéti ellátásra van szükség.

Főként profi sportolóknál gyakori a nagy erőbehatásoknak kitett térdízület sérülése (labdarúgók, kézilabdázók, kosarasok, dobóatléták) Ilyen esetben sérülhet a térdízület porcfelszíne, a porckiegyenlítő gyűrűk (meniscusok) és a szalagok, a külső és belső oldalszalag és a térdízület belső szalagjai az un. keresztszalagok. Gyakori a kombinált sérülés, amikor az említett képletek egyszerre sérülnek.

A nagy erőbehatással járó térdsérülések az esetek döntő többségében műtéti ellátást igényelnek.
A térdsérülések ellátásában napjainkban az arthroscopos eljárásokat alkalmazzuk, térdízületet lehetőleg nem nyitunk meg, mert az a későbbiekben sokkal rosszabb funkciót eredményez.
Gyakori műtéti eljárás a térdízület elülső keresztaszalagjának arthroscopos plasztikája, ekkor az elszakadt szalagot vagy a térdkalács ínból, vagy a comb-térd területéről vett un. Hamstring ínból pótoljuk. A műtétet követően hosszú rehabilitációs kezelés szükséges, amelyhez hozzátartozik a gyógytorna, a rehabilitációs szakemberrel végzett izomerősítés és hozzátartoznak a fizikoterápiás eljárások is. Az aktív sporttevékenységhez történő visszatérés ilyen esetekben 6-8 hónapot vesz igénybe.

